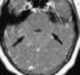
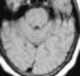
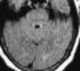
Viral meningoencephalitis

Meningoencephalitis (; from Greek μῆνιγξ meninx, "membrane", ἐγκέφαλος, enképhalos "brain", and the medical suffix -itis, "inflammation"), also known as herpes meningoencephalitis, is a medical condition that simultaneously resembles both meningitis, which is an infection or inflammation of the meninges, and encephalitis, which is an infection or inflammation of the brain. Signs and symptoms Signs of meningeoncephalitis include unusual behavior, personality changes, and thinking problems.Symptoms may include headache, fever, pain in neck movement, light sensitivity, and seizure. [Source: Wikipedia ]