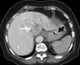
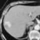
Thromboembolism of hepatic veins

Thrombosis (from Ancient Greek θρόμβωσις thrómbōsis "clotting”) is the formation of a blood clot inside a blood vessel, obstructing the flow of blood through the circulatory system. When a blood vessel (a vein or an artery) is injured, the body uses platelets (thrombocytes) and fibrin to form a blood clot to prevent blood loss. [Source: Wikipedia ]