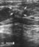
Sonographically complex hepatic mass

Medical ultrasound (also known as diagnostic sonography or ultrasonography) is a diagnostic imaging technique, or therapeutic application of ultrasound. It is used to create an image of internal body structures such as tendons, muscles, joints, blood vessels, and internal organs. [Source: Wikipedia ]