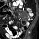
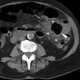
Perforated jejunal diverticulum

In medicine or biology, a diverticulum is an outpouching of a hollow (or a fluid-filled) structure in the body. Depending upon which layers of the structure are involved, diverticula are described as being either true or false.In medicine, the term usually implies the structure is not normally present. [Source: Wikipedia ]