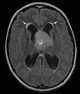
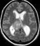
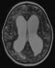
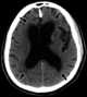
Transependymal CSF flow

Normal-pressure hydrocephalus (NPH), also called malresorptive hydrocephalus, is form of communicating hydrocephalus in which excess cerebrospinal fluid (CSF) occurs in the ventricles, and with normal or slightly elevated cerebrospinal fluid pressure. As the fluid builds up, it causes the ventricles to enlarge and the pressure inside the head to increase, compressing surrounding brain tissue and leading to neurological complications. [Source: Wikipedia ]