Gamuts

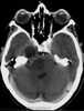
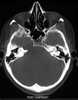
Posterior fossa cystic lesion

Vaginal cysts are uncommon benign cysts that develop in the vaginal wall. The type of epithelial tissue lining a cyst is used to classify these growths. [Source: Wikipedia ]

May Be Caused by
Abscess
Arachnoid cyst
Brain stem glioma
Cystic astrocytoma
Cysticercosis
Dandy-Walker malformation
Dandy-Walker variant
Dermoid
Ependymal cyst
Ependymoma
Epidermoid
Giant cisterna magna
Granulomatous infection
Hemangioblastoma
Hydatid disease
Medulloblastoma
Metastasis
Paragonimiasis
May Be Caused by
Abscess
Arachnoid cyst
Brain stem glioma
Cystic astrocytoma
Cysticercosis
Dandy-Walker malformation
Dandy-Walker variant
Dermoid
Ependymal cyst
Ependymoma
Epidermoid
Giant cisterna magna
Granulomatous infection
Hemangioblastoma
Hydatid disease
Medulloblastoma
Metastasis
Paragonimiasis


Copyright © 2026, Charles E. Kahn, Jr., MD, MS
ALL RIGHTS RESERVED
About "Gamuts"

Quiz