Cavernous angioma

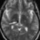
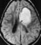
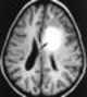
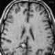
Cavernous hemangioma, also called cavernous angioma, cavernoma, or cerebral cavernoma (CCM) (when referring to presence in the brain) is a type of benign vascular tumor or hemangioma, where a collection of dilated blood vessels form a lesion. The abnormal tissue causes a slowing of blood flow through the cavities, or "caverns". [Source: Wikipedia ]