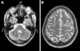
Infratentorial intracranial tumor in a child

Medulloblastoma is a common type of primary brain cancer in children. It originates in the part of the brain that is towards the back and the bottom, on the floor of the skull, in the cerebellum, or posterior fossa.The brain is divided into two main parts, the larger cerebrum on top and the smaller cerebellum below towards the back. [Source: Wikipedia ]