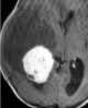
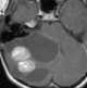
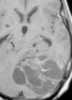
Cystic astrocytoma

A pilocytic astrocytoma (and its variant juvenile pilomyxoid astrocytoma) is a brain tumor that occurs more often in children and young adults (in the first 20 years of life). They usually arise in the cerebellum, near the brainstem, in the hypothalamic region, or the optic chiasm, but they may occur in any area where astrocytes are present, including the cerebral hemispheres and the spinal cord. [Source: Wikipedia ]