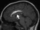
Lipoma of corpus callosum

A lipoma is a benign tumor made of fat tissue. They are generally soft to the touch, movable, and painless. [Source: Wikipedia ]