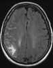
Frontal lobe neoplasm

Utilization behavior (UB) is a type of neurobehavioral disorder that involves patients grabbing objects in view and starting the 'appropriate' behavior associated with it at an 'inappropriate' time. Utilization behavior patients have difficulty resisting the impulse to operate or manipulate objects which are in their visual field and within reach. [Source: Wikipedia ]