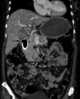
Duodenal cancer

Duodenal cancer is a cancer in the first section of the small intestine known as the duodenum. Cancer of the duodenum is relatively rare compared to stomach cancer and colorectal cancer. [Source: Wikipedia ]