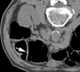
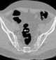
Colon lesion

A sessile serrated lesion (SSL) is a premalignant flat (or sessile) lesion of the colon, predominantly seen in the cecum and ascending colon. SSLs are thought to lead to colorectal cancer through the (alternate) serrated pathway. [Source: Wikipedia ]