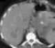
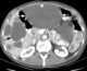
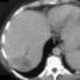
Gastrointestinal stromal tumor of posterior wall of stomach

Gastrointestinal stromal tumors (GISTs) are the most common mesenchymal neoplasms of the gastrointestinal tract. GISTs arise in the smooth muscle pacemaker interstitial cell of Cajal, or similar cells. [Source: Wikipedia ]