Gamuts
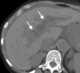
Impacted stone in Vaterian segment
May Cause
Choledocholithiasis
May Cause
Choledocholithiasis