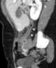
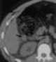
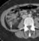
Ruptured retrocecal appendix

Appendicitis is inflammation of the appendix. Symptoms commonly include right lower abdominal pain, nausea, vomiting, and decreased appetite. [Source: Wikipedia ]