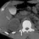
Trauma to kidney

Blunt trauma, also known as blunt force trauma or non-penetrating trauma, is physical trauma or impactful force to a body part, often occurring with road traffic accidents, direct blows, assaults, injuries during sports, and particularly in the elderly who fall. It is contrasted with penetrating trauma which occurs when an object pierces the skin and enters a tissue of the body, creating an open wound and bruise.Blunt trauma can result in contusions, abrasions, lacerations, internal hemorrhages, and bone fractures.Worldwide, a significant cause of disability and death in people under the age of 35 year is trauma, of which most are due to blunt trauma. [Source: Wikipedia ]