Infectious aneurysm

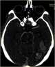
An infectious intracranial aneurysm (IIA, also called mycotic aneurysm) is a cerebral aneurysm that is caused by infection of the cerebral arterial wall. Signs and symptoms Many patients with unruptured IIA may have no symptoms. [Source: Wikipedia ]