Gamuts

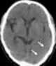
Subjacent acute cerebral infarction

May Cause
Focal leptomeningeal enhancement
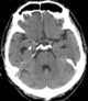
May Cause
Focal leptomeningeal enhancement


Copyright © 2025, Charles E. Kahn, Jr., MD, MS
ALL RIGHTS RESERVED
About "Gamuts"

Quiz