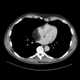
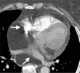
Pericardial lipoma

Scleroderma is a group of autoimmune diseases that may result in changes to the skin, blood vessels, muscles, and internal organs. The disease can be either localized to the skin or involve other organs as well. [Source: Wikipedia ]