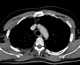
Chest wall hematoma

A chest tube (chest drain, thoracic catheter, tube thoracostomy, or intercostal drain) is a flexible plastic tube that is inserted through the chest wall and into the pleural space or mediastinum. It is used to remove air (pneumothorax), fluid (pleural effusion, blood, chyle), or pus (empyema) from the intrathoracic space. [Source: Wikipedia ]