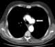
Aortic arch aneurysm

A thoracic aortic aneurysm is an aortic aneurysm that presents primarily in the thorax. A thoracic aortic aneurysm is the "ballooning" of the upper aspect of the aorta, above the diaphragm. [Source: Wikipedia ]