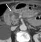
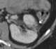
Postoperative fluid collection

A lymphocele is a collection of lymphatic fluid within the body not bordered by epithelial lining. It is usually a surgical complication seen after extensive pelvic surgery (such as cancer surgery) and is most commonly found in the retroperitoneal space. [Source: Wikipedia ]