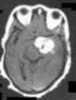
Sphenoid ridge meningioma

A sphenoid wing meningioma is a benign brain tumor near the sphenoid bone. Pathogenesis A meningioma is a benign brain tumor. [Source: Wikipedia ]