Gamuts

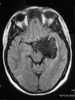
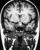
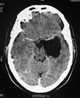
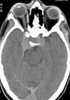
Parasellar lesion

The cavernous sinus within the human head is one of the dural venous sinuses creating a cavity called the lateral sellar compartment bordered by the temporal bone of the skull and the sphenoid bone, lateral to the sella turcica. Structure The cavernous sinus is one of the dural venous sinuses of the head. [Source: Wikipedia ]

May Be Caused by
Arachnoid cyst
Carotid siphon aneurysm
Chordoma
Craniopharyngioma
Dermoid
Ectopic posterior pituitary
Epidermoid
Germinoma
Hypothalamic glioma
Langerhans cell histiocytosis
Lipoma
Mandibular schwannoma
Meningioma
Metastasis
Optic chiasm glioma
Pituitary adenocarcinoma
Pituitary adenoma
Pituitary carcinosarcoma
Pituitary choristoma
Pituitary hyperplasia
Pituitary lymphoma
Pituitary oncocytoma
Prolactinoma
Rathke cleft cyst
Sarcoidosis
Sphenoid sinus carcinoma
Sphenoid sinus mucocele
Teratoma
Tuber cinereum hamartoma
May Be Caused by
Arachnoid cyst
Carotid siphon aneurysm
Chordoma
Craniopharyngioma
Dermoid
Ectopic posterior pituitary
Epidermoid
Germinoma
Hypothalamic glioma
Langerhans cell histiocytosis
Lipoma
Mandibular schwannoma
Meningioma
Metastasis
Optic chiasm glioma
Pituitary adenocarcinoma
Pituitary adenoma
Pituitary carcinosarcoma
Pituitary choristoma
Pituitary hyperplasia
Pituitary lymphoma
Pituitary oncocytoma
Prolactinoma
Rathke cleft cyst
Sarcoidosis
Sphenoid sinus carcinoma
Sphenoid sinus mucocele
Teratoma
Tuber cinereum hamartoma


Copyright © 2025, Charles E. Kahn, Jr., MD, MS
ALL RIGHTS RESERVED
About "Gamuts"

Quiz