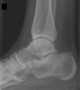
Calcaneal spur

A calcaneal spur (also known as a heel spur) is a bony outgrowth from the calcaneal tuberosity (heel bone). Calcaneal spurs are typically detected by x-ray examination. [Source: Wikipedia ]