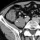
Appendiceal perforation

The appendix (or vermiform appendix; also cecal [or caecal] appendix; vermix; or vermiform process) is a finger-like, blind-ended tube connected to the cecum, from which it develops in the embryo. The cecum is a pouch-like structure of the colon, located at the junction of the small and the large intestines. [Source: Wikipedia ]