Gamuts

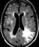
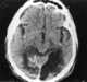
Megancephalic leukoencephalopathy

May Cause
Leukodystrophy / leukoencephalopathy
May Cause
Leukodystrophy / leukoencephalopathy


Copyright © 2025, Charles E. Kahn, Jr., MD, MS
ALL RIGHTS RESERVED
About "Gamuts"

Quiz