Cree encephalopathy

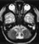
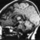
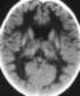
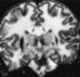
Aicardi–Goutières syndrome (AGS), which is completely distinct from the similarly named Aicardi syndrome, is a rare, usually early onset childhood, inflammatory disorder most typically affecting the brain and the skin (neurodevelopmental disorder). The majority of affected individuals experience significant intellectual and physical problems, although this is not always the case. [Source: Wikipedia ]