Gamuts

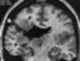
Brain dysgenesis-focal calcification

May Cause
Intracranial calcification
Neuronal migration disorder
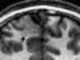
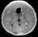
May Cause
Intracranial calcification
Neuronal migration disorder


Copyright © 2025, Charles E. Kahn, Jr., MD, MS
ALL RIGHTS RESERVED
About "Gamuts"

Quiz