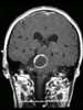
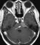
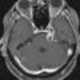
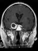
Trigeminal schwannoma

Hypoesthesia or numbness is a common side effect of various medical conditions which manifests as a reduced sense of touch or sensation, or a partial loss of sensitivity to sensory stimuli. In everyday speech this is generally referred to as numbness.Hypoesthesia primarily results from damage to nerves, and from blockages in blood vessels, resulting in ischemic damage to tissues supplied by the blocked blood vessels. [Source: Wikipedia ]