Craniectomy

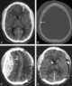
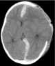
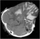
Decompressive craniectomy (crani- + -ectomy) is a neurosurgical procedure in which part of the skull is removed to allow a swelling brain room to expand without being squeezed. It is performed on victims of traumatic brain injury, stroke, Chiari Malformation, and other conditions associated with raised intracranial pressure. [Source: Wikipedia ]