Gamuts

Subdural hematoma

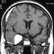
A subdural hematoma (SDH) is a type of bleeding in which a collection of blood—usually associated with a traumatic brain injury—gathers between the inner layer of the dura mater and the arachnoid mater of the meninges surrounding the brain. It usually results from tears in bridging veins that cross the subdural space. [Source: Wikipedia ]

Synonyms
Subdural
Subdural hemorrhage
Subtypes
Chronic subdural hematoma
May Cause
Avascular intracranial mass
Avascular zone near the brain surface
Extra-axial lesion
Hydrocephalus
Increased intracranial pressure
Linear meningeal enhancement
Localized bulge of the calvarium or scalp
Macrocephaly
Middle cranial fossa lesion
Multifocal intracranial lesions
Nonneoplastic solitary intracranial mass
Radiolucent skull lesion
Separation of cranial sutures in a child
Solitary osteolytic skull lesion
May Be Caused by
Battered child syndrome
Synonyms
Subdural
Subdural hemorrhage
Subtypes
Chronic subdural hematoma
May Cause
Avascular intracranial mass
Avascular zone near the brain surface
Extra-axial lesion
Hydrocephalus
Increased intracranial pressure
Linear meningeal enhancement
Localized bulge of the calvarium or scalp
Macrocephaly
Middle cranial fossa lesion
Multifocal intracranial lesions
Nonneoplastic solitary intracranial mass
Radiolucent skull lesion
Separation of cranial sutures in a child
Solitary osteolytic skull lesion
May Be Caused by
Battered child syndrome


Copyright © 2025, Charles E. Kahn, Jr., MD, MS
ALL RIGHTS RESERVED
About "Gamuts"

Quiz