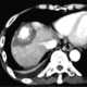
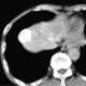
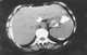
Subphrenic hematoma

Mediastinitis is inflammation of the tissues in the mid-chest, or mediastinum. It can be either acute or chronic. [Source: Wikipedia ]