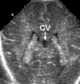
Cavum septi pellucidi

The cave of septum pellucidum (CSP), cavum septi pellucidi, or cavity of septum pellucidum, is a slit-like space in the septum pellucidum that is present in fetuses but usually fuses during infancy. The septum pellucidum is a laminated thin translucent vertical membrane in the midline of the brain separating the anterior horns of the right and left ventricles. [Source: Wikipedia ]