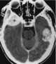
Temporal lobe hematoma

Intracerebral hemorrhage (ICH), also known as cerebral bleed and intraparenchymal bleed, is a sudden bleeding into the tissues of the brain, into its ventricles, or into both. It is one kind of bleeding within the skull and is one kind of stroke.Symptoms can include headache, one-sided weakness, vomiting, seizures, decreased level of consciousness, and neck stiffness. [Source: Wikipedia ]