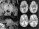
Globus pallidus necrosis

Wilson's disease is a genetic disorder in which excess copper builds up in the body. Symptoms are typically related to the brain and liver. [Source: Wikipedia ]