Gamuts

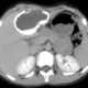
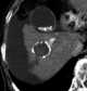
Hepatic calcification

Jaundice, also known as icterus, is a yellowish or greenish pigmentation of the skin and whites of the eyes due to high bilirubin levels. Jaundice in adults is typically a sign indicating the presence of underlying diseases involving abnormal heme metabolism, liver dysfunction, or biliary tract obstruction. [Source: Wikipedia ]

May Be Caused by
Abscess
Amyloidosis
Calcified hepatic vein thrombus
Calcified portal vein thrombus
Cat-scratch disease
Chronic granulomatous disease of childhood
Fetal toxoplasmosis infection
Fetal varicella infection
Gallstone
Hemangioma
Herpes simplex infection
Ischemic hepatic necrosis
Portal vein obstruction
Subcapsular hematoma
Visceral larva migrans
May Be Caused by
Abscess
Amyloidosis
Calcified hepatic vein thrombus
Calcified portal vein thrombus
Cat-scratch disease
Chronic granulomatous disease of childhood
Fetal toxoplasmosis infection
Fetal varicella infection
Gallstone
Hemangioma
Herpes simplex infection
Ischemic hepatic necrosis
Portal vein obstruction
Subcapsular hematoma
Visceral larva migrans


Copyright © 2026, Charles E. Kahn, Jr., MD, MS
ALL RIGHTS RESERVED
About "Gamuts"

Quiz