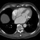
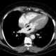
Mitral valve calcification

The mitral valve (), also known as the bicuspid valve or left atrioventricular valve, is a valve with two flaps in the heart that lies between the left atrium and the left ventricle. The mitral valve and the tricuspid valve are known collectively as the atrioventricular valves because they lie between the atria and the ventricles of the heart.In normal conditions, blood flows through an open mitral valve during diastole with contraction of the left atrium, and the mitral valve closes during systole with contraction of the left ventricle. [Source: Wikipedia ]