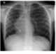
Dextroposition

Scimitar syndrome, or congenital pulmonary venolobar syndrome, is a rare congenital heart defect characterized by anomalous venous return from the right lung (to the systemic venous drainage, rather than directly to the left atrium). This anomalous pulmonary venous return can be either partial (PAPVR) or total (TAPVR). [Source: Wikipedia ]