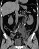
Calculus in calyceal diverticulum

The renal calyces are chambers of the kidney through which urine passes. The minor calyces surround the apex of the renal pyramids. [Source: Wikipedia ]