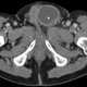
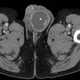
Rhabdomyosarcoma of spermatic cord

Scrotal (or transscrotal) ultrasound is a medical ultrasound examination of the scrotum. It is used in the evaluation of testicular pain, and can help identify solid masses. [Source: Wikipedia ]