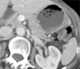
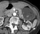
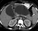
Pancreatic tail

The pancreas is an organ of the digestive system and endocrine system of vertebrates. In humans, it is located in the abdomen behind the stomach and functions as a gland. [Source: Wikipedia ]