Gamuts

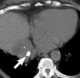
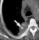
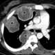
Multiple pleural masses

Mesothelioma is a type of cancer that develops from the thin layer of tissue that covers many of the internal organs (known as the mesothelium). The most common area affected is the lining of the lungs and chest wall. [Source: Wikipedia ]

May Be Caused by
Amebiasis
Asbestosis
Cysticercosis
Endometriosis
Hydatid disease
Invasive thymoma
Localized fibrous tumor of pleura
Loculated pleural effusion
Lung carcinoma metastasis
Lymphoma
Mesothelioma
Metastasis from carcinoma of breast
Metastasis from carcinoma of prostate
Metastasis to pleura
Paragonimiasis
Parasitic disease
Pentastomiasis
Pleural plaques
Postoperative state
Thoracic splenosis
Tuberculosis
May Be Caused by
Amebiasis
Asbestosis
Cysticercosis
Endometriosis
Hydatid disease
Invasive thymoma
Localized fibrous tumor of pleura
Loculated pleural effusion
Lung carcinoma metastasis
Lymphoma
Mesothelioma
Metastasis from carcinoma of breast
Metastasis from carcinoma of prostate
Metastasis to pleura
Paragonimiasis
Parasitic disease
Pentastomiasis
Pleural plaques
Postoperative state
Thoracic splenosis
Tuberculosis


Copyright © 2025, Charles E. Kahn, Jr., MD, MS
ALL RIGHTS RESERVED
About "Gamuts"

Quiz