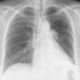
Atelectasis of lower lobe

Atelectasis is the collapse or closure of a lung resulting in reduced or absent gas exchange. It is usually unilateral, affecting part or all of one lung. [Source: Wikipedia ]