Gamuts

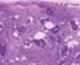
Desquamative interstitial pneumonitis

Interstitial lung disease (ILD), or diffuse parenchymal lung disease (DPLD), is a group of respiratory diseases affecting the interstitium (the tissue and space around the alveoli (air sacs)) of the lungs. It concerns alveolar epithelium, pulmonary capillary endothelium, basement membrane, and perivascular and perilymphatic tissues. [Source: Wikipedia ]

OrphaNet reference
Desquamative interstitial pneumonia 
May Cause
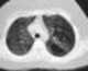
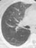
Bilateral basilar lung disease
Chronic disseminated air-space opacity
Chronic Kerley lines
Diffuse mixed airspace-interstitial lung disease
Ground-glass pulmonary opacity
Ill-defined multifocal lung opacities
Interstitial lung fibrosis
Lung disease with eosinophilia
Widespread small irregular lung opacities
OrphaNet reference
Desquamative interstitial pneumonia 
May Cause
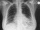
Bilateral basilar lung disease
Chronic disseminated air-space opacity
Chronic Kerley lines
Diffuse mixed airspace-interstitial lung disease
Ground-glass pulmonary opacity
Ill-defined multifocal lung opacities
Interstitial lung fibrosis
Lung disease with eosinophilia
Widespread small irregular lung opacities


Copyright © 2026, Charles E. Kahn, Jr., MD, MS
ALL RIGHTS RESERVED
About "Gamuts"

Quiz